Book Online

COSMETIC DENTISTRY

We’re committed to helping our patients smile confidently again. We offer a range of cosmetic dentistry treatments to improve the appearance of teeth, gums and/or bite. We will discuss every option with you including colour, positioning, shape, size, alignment and overall smile appearance.

Give us a call to book in for your consultation!

TOOTH COLOURED FILLINGS

Many people have amalgam (silver) fillings in their mouth however nowadays fillings can be more natural looking, whilst still doing the job. More people are opting to avoid silver fillings that show when they laugh or smile because they are more conscious about the way they look.

It is usually best to change fillings only when your dentist recommends that an old filling needs replacing, you can ask to have it replaced with a tooth-coloured filling.

COMPOSITE BONDING

This is the application of a tooth-coloured composite resin (plastic) to repair a fractured, chipped, decayed or discoloured tooth and even just to change the shape of a tooth. Unlike veneers, which are manufactured in a laboratory and require a customised mould to achieve a proper fit, bonding can be done in a single visit. The procedure is called bonding because the material bonds to the tooth.

Composite Bonding

VENEERS

Dental Veneer

A veneer is a thin layer of porcelain (roughly 0.5 -1.0mm in thickness) which is custom made to fit over the front surface of a tooth, like a false fingernail would fit over a nail. Sometimes a natural colour ‘composite’ material is used instead of porcelain. Veneers are used to improve the colour, shape and alignment of your teeth. A precise shade of porcelain can be chosen to give the right colour to improve a single discoloured tooth or to lighten the front teeth. A veneer can make a chipped tooth look perfect again.

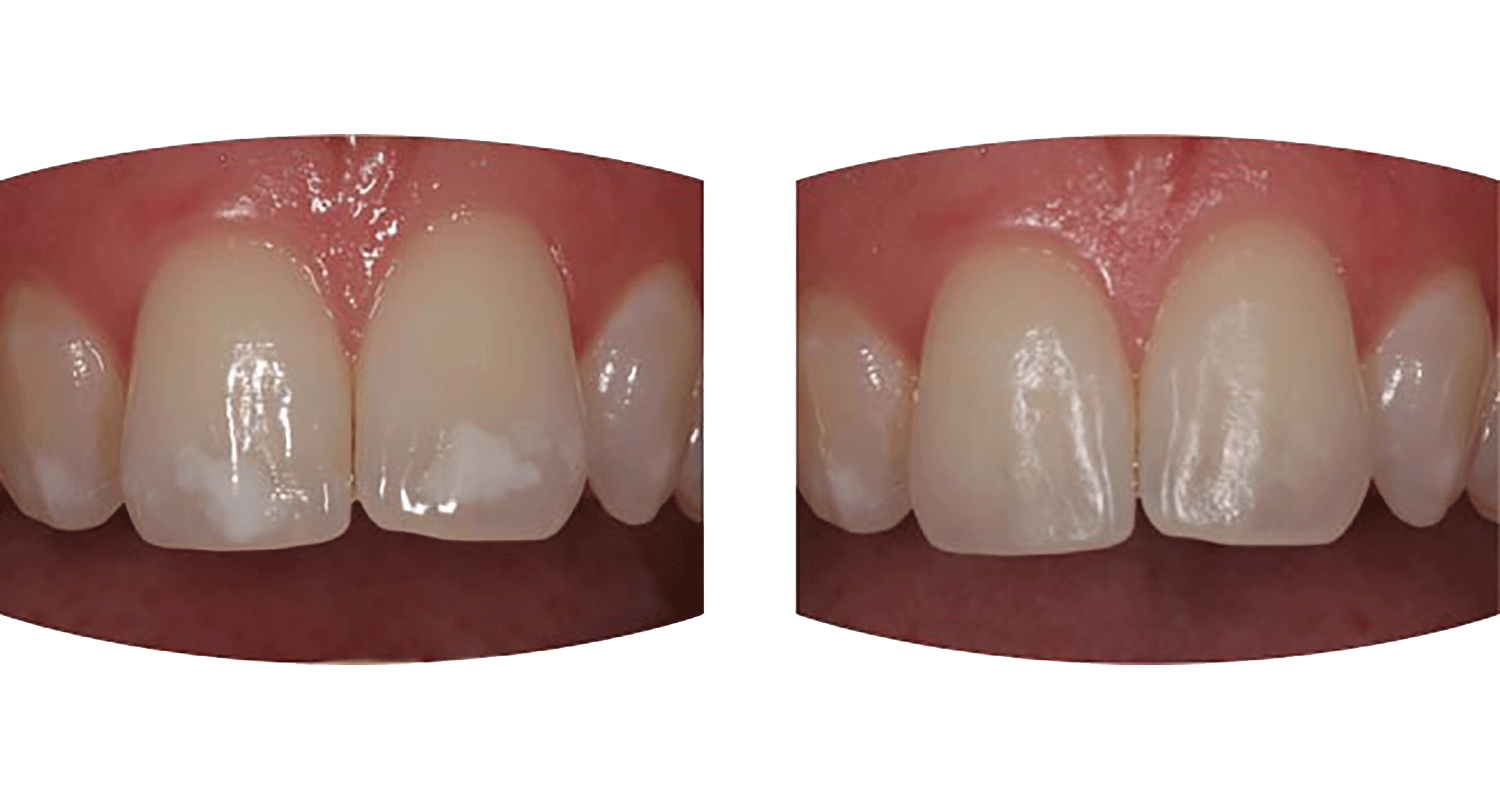
ICON (WHITE SPOT REMOVAL)

ICON is a new minimal invasive solution to remove the white spots from the teeth surface. Before ICON the only available treatment for this type of lesions was drilling the lesion out and filling the cavity with a tooth coloured filling.

The white discolorations present on the teeth surface are caused by early stages decay, fluorosis or enamel developmental defects. The white spots can appear also after the removal of fixed appliances(braces) when the orthodontic treatment is completed.

The principle of the treatment is a gentle infiltration procedure of the porous dental tissue with a liquid resin that reflect the light in a similar manner as the enamel. Therefore this creates a matching or blending in visual effect.

Composite Bonding

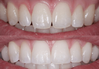
TEETH WHITENING

Teeth Whitening

Teeth Whitening is a process where the tooth discolouration is whitened to a lighter shade. It removes the staining agent throughout chemical means. It is a safe procedure when carried out under professional supervision. Treatment results usually depend on the severity of the discolouration. Both vital (i.e. live) and non-vital teeth (e.g. tooth with root removed) can be bleached and may take several visits to complete.

The whitening treatment is not effective on dental restorations such as amalgam fillings, metal or porcelain crowns, etc.

Teeth can discolour for various reason from food and beverages to smoking. The dentist will recommend the most ideal method based on your oral condition after an in-office examination to establish the cause and nature of your tooth discolouration, as well as provide you with more information on the various types of whitening procedures available, duration & frequency of treatment.

The teeth whitening procedure is a cosmetic treatment and therefore the result does not last forever, and it might have to be topped-up over time.

Although with the removal of the staining agent from your daily routine the effect can last much longer.

There are two ways that the treatment can be administrated. One is with customised whitening trays and whitening gel that is applied at home by the patient for a duration of two to four weeks, until the desired lighter teeth shade is achieved.

Alternatively, the treatment can be done in the dental surgery with the help of a light and gel to gently penetrate the teeth to break up discolouration and stains. The result can be noted instantly after the treatment.

CONTACT OUR TREATMENT COORDINATOR

We can offer a range of solutions for your perfect smile. Just fill out the form below to arrange your consultation:

Our Treatment Coordinator's role is to use training and in-depth knowledge to inform and educate you, ensuring you can make informed decisions that are right for you.

This means that all our patients have someone to talk to, throughout their journey with us. Fill out the form and we'll get in touch.

Dentistry

Popular Treatments

Cosmetic Dentistry

Dental Implants

Teeth Whitening

Hygienist

Facial Aesthetics

Emergencies

If you are already registered with us and require emergency treatment please call the practice to book in.

Opening Hours

Monday
8:45am to 6:45pm
Tuesday
8:45am to 5:45pm
Wednesday
8:45am to 6:45pm
Thursday
8:45am to 5:45pm
Friday
8:45am to 5:45pm
Saturday
Closed
Sunday
Closed

Contact Us

Tel:
01934 838 439

Address:
Chescombe Road
Yatton
Bristol
BS49 4EJ

Copyright © Yatton Dental | SEO & PPC - Takeoff Digital

CALL !